LAS MENTIRAS CAMBIAN EL CEREBRO
La amígdala se acostumbra a las mentiras
Todos hemos mentido alguna vez, algunos mienten más que otros.
Pero debes tener cuidado porque cuando las mentiras se vuelven un hábito, podrías desensibilizar a tu cerebro.
Toma esto en cuenta y enséñale a tus hijos con el ejemplo.
La honestidad sigue siendo una virtud. Y no te engañes, digan lo que digan los noticieros, las “verdades alternativas” son y serán siempre mentiras.
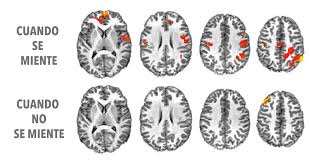
El cerebro es maleable aun cuando se trata de las mentiras.
Y de acuerdo a un estudio nuevo, se puede adaptar a ser deshonesto.
Un estudio reciente publicado en línea en Nature Neuroscience sugiere que las personas que dicen pequeñas mentiras que les favorecen con el tiempo, dicen mentiras o falsedades mayores y su cerebro se adapta a su falta de honestidad.
Los investigadores proporcionan evidencia del callejón sin salida que describen algunos políticos, algunos esposos que no son fieles, algunos banqueros o financieros corruptos y otros para explicar su mala conducta. Reforzando lo que los padres les dicen a los niños: que una mentira lleva a otra.
Una de las autoras del estudio, la Dra. Tali Sharot, profesora asociada de neurociencia cognitiva en University College London,piensa que la desactivación de la amígdala (el área del cerebro que responde emocionalmente cuando se miente) propicia a la deshonestidad y ayuda a la persona que miente.


Comentarios
Publicar un comentario